銀歯の下が虫歯に!?将来の自分の歯を守る「賢い選択」とは
こんにちは!
埼玉県三郷市あべひろ総合歯科 萩原です。
虫歯の治療をした後、被せ物や詰め物を決める際、
「銀歯でいいか」それとも「セラミックにするか」
で迷われたことはありませんか?
「見た目だけの違いでしょ?」と思われがちですが、
実は「その後の歯の寿命」に大きな差が出てくるんです。
今日は、意外と知られていないセラミックの本当のメリットをお話しします。
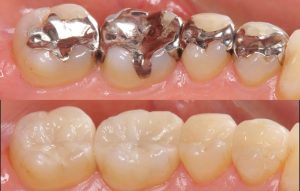
- 「銀歯」は時間が経つと隙間ができやすい?

保険診療で使われる銀歯は、お口の中で毎日使っているうちに、
少しずつ劣化したり変形したりします。
すると、歯と銀歯の間に目に見えないほどの小さな隙間ができてしまいます。
そこから菌が入り込み、
銀歯の下でまた虫歯になってしまうこと(二次カリエス)が実はとても多いのです。
せっかく治したのに、また削ることになるのは悲しいですよね。
- セラミックは「歯を守るバリア」

一方で、セラミックにはこんな特徴があります。
- 汚れがつきにくい: お皿と同じ素材なので、プラーク(細菌の塊)が付きにくく、お掃除がしやすいです。
- ピッタリ密着する: 特殊な接着剤で歯と一体化するため、隙間から菌が入り込むリスクを最小限に抑えられます。
- 金属アレルギーの心配がない: 体に優しい素材なので、歯ぐきの変色も防げます。
- 「何度もやり直す」よりも「一度で長持ち」
「自費診療は高い」というイメージがあるかもしれません。
しかし、銀歯が原因で再発を繰り返し、
最終的に歯を失ってインプラントや入れ歯が必要になるコストを考えると、
「最初から再発しにくいセラミックを選ぶこと」は、実は一番の節約にもなるのです。
大切なのは、納得して選ぶこと
あべひろ総合歯科ではは、無理に高い治療を勧めることはありません。
それぞれのメリット・デメリットをしっかりお伝えした上で、
患者さまが「10年後、20年後も美味しく食事をするために」**ベストな方法を提案させていただき
一緒に考えたいと思っています。
「自分の場合はどうかな?」と気になった方は、
検診の際にお気軽にご相談くださいね!
あべひろ総合歯科では、新患・急患随時受付ております。
📞048-950-2525

あべひろ総合歯科は、地域貢献のため、新患さん・急患さんを随時、受け付けております。
地域の支援と患者さん一人ひとりをしっかり診ていく、という診療方針を掲げ、近隣の流山市や草加市、都内などからも来院頂ける歯科医院に成長してきました。
基本を忘れず、すべての患者さんに対して、そして自分自身に対して正直でありたいと考えております。お口のことなら何でもお気軽にご相談ください。